¿Las manchas blancas están complicando tus tratamientos de Ortodoncia?

Logra Resultados Estéticos Predecibles 

Quiero Inscribirme
IMAGINA ESTO...

Trabajaste durante meses para alinear los dientes de tu paciente.

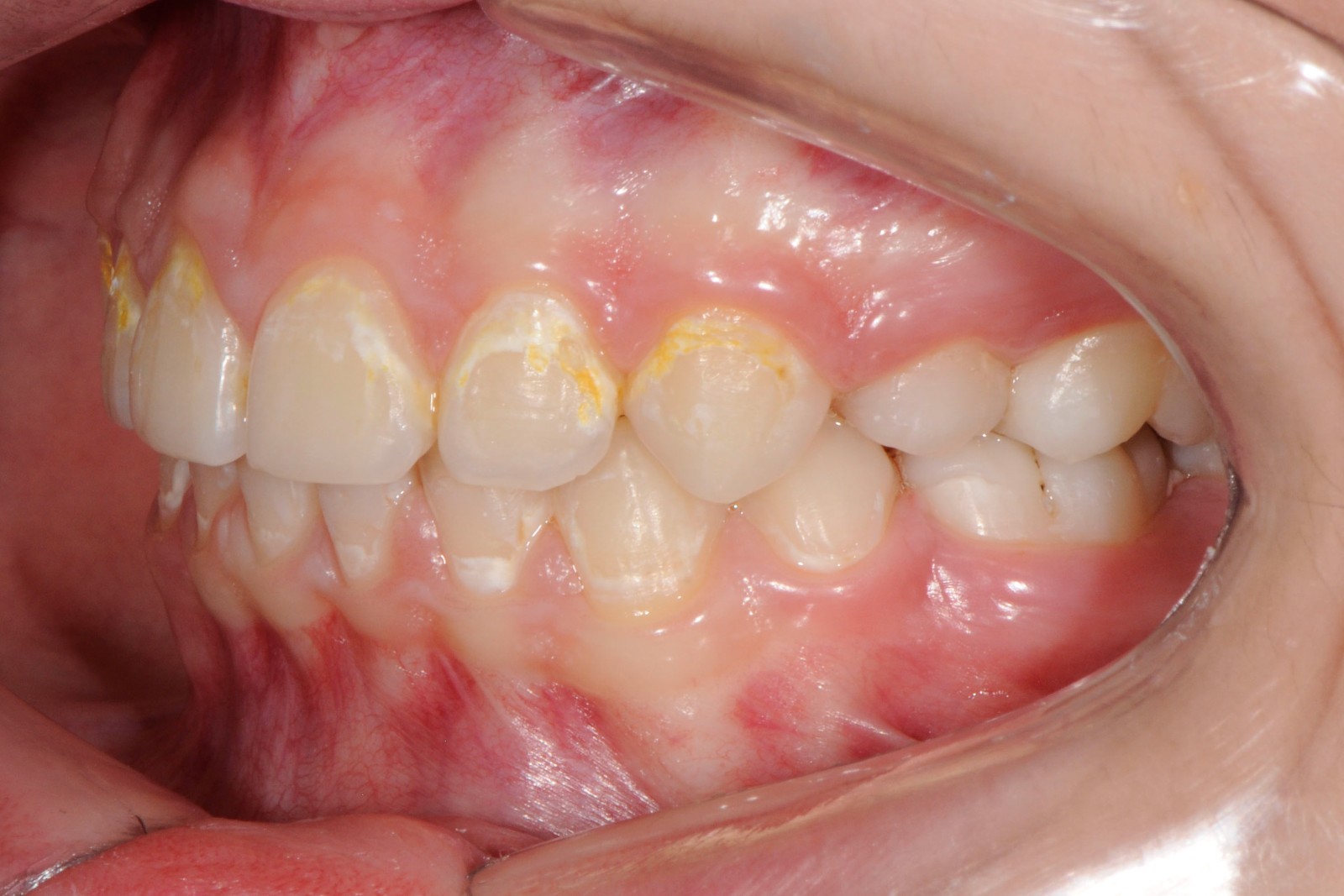
Pero al retirar los brackets, aparecen las indeseables manchas blancas que afectan el resultado.
No estás solo/a: esto le ocurre a muchos ortodoncistas.

¿La causa?
Desde que terminaste la Universidad, te dedicaste a tu pasión, la Ortodoncia. Y la Cariología ha cambiado mucho desde entonces. 

LA REALIDAD

Durante el tratamiento ortodóncico aumenta de manera significativa el riesgo a que aparezcan lesiones cariosas

🔸 Los brackets y otros tipos de aparatología crean zonas retentivas que favorecen la desmineralización.
🔸 Las manchas blancas comprometen el resultado estético final.
🔸 Tratar esas lesiones después del tratamiento implica más citas, mayor gasto y más estrés.
🔸 Esto puede afectar negativamente la percepción del paciente sobre su tratamiento. 

🎯 Curso 100% online sobre Cariología diseñado para Ortodoncistas

En un curso corto y didáctico vas a aprender lo que necesitás para:

✔ Estar al día con los conceptos actuales de cariología
✔ Prevenir manchas blancas
✔ Evitar tratamientos restauradores costosos
✔ Aumentar la satisfacción de tus pacientes

Quiero inscribirme
Contenido del Curso

Concepto actual de caries dental

Diferencia entre enfermedad y lesiones cariosas

Evaluación del riesgo y su importancia antes de empezar un tratamiento ortodóncico

Como se identifican actualmente las lesiones cariosas

Como saber si una lesión está activa o inactiva

Protocolo de prevención de caries durante el tratamiento ortodóncico

Tratamiento de lesiones cariosas iniciales luego del retiro de la aparatología

📦 Al inscribirte tendrás acceso a:

🎥 Una clase online en vivo de 3 horas de duración y acceso a la grabación por una semana.
📄 Bono de regalo: 10 artículos científicos sobre el tema
📜 Certificado de finalización 
 

Quiero inscribirme
Conoce a tu instructor: El Dr. Alfredo Carrillo

Padre de Isabella y Michelle.

Doctor en Odontología.

Especialista y Master en Odontopediatría.

Conferencista internacional.

Autor de artículos y capítulos de libros de Odontopediatría.

Obsesionado con la Mínima Intervención y con poner la evidencia científica al alcance de todos. 

Cerrar X